Full HTML
A rare case of childhood interstitial lung disease attributed to desquamative interstitial pneumonia
Samiksha Kamble1, Ketaki Utpat2, Gayathri Amonkar3, Unnati Desai2
Author Affiliation
1Senior Registrar,
2Associate Professor, Department of Pulmonary Medicine,
3Associate Professor, Department of Pathology, T. N. Medical College, B. Y. L. Nair Hospital, Mumbai, Maharashtra, India
Abstract
Desquamative interstitial pneumonia is a rare form of interstitial lung disease in children that can be idiopathic but is usually associated with an inborn error of surfactant metabolism. We reported DIP in a thirteen-year-old girl who was referred to our outpatient clinic because of worsening dyspnoea. High-resolution computed tomography showed ground-glass attenuation with honeycombing and intralobular, interstitial septal thickening suggestive of an interstitial lung disease. Transbronchial lung biopsy was performed and histopathology findings were consistent with desquamative interstitial pneumonia. The patient was started on steroid therapy with oxygen support. Unfortunately, she died a month after being diagnosed due to disease progression.
DOI: 10.32677/yjm.v2i2.4098
Keywords: Child interstitial lung disease, Desquamative interstitial pneumonia, Transbronchial lung biopsy
Pages: 112-114
View: 3
Download: 5
DOI URL: https://doi.org/10.32677/yjm.v2i2.4098
Publish Date: 28-09-2023
Full Text
INTRODUCTION
Interstitial lung disease (ILD) in childhood is a heterogeneous group of rare pulmonary conditions and relatively poorly understood (in comparison to adult ILD) mostly chronic and associated with high morbidity and mortality (around 15%), [1-3] which presents chronic respiratory disorders along with immunological problems as well as growth and developmental abnormalities [4,5]. The American Thoracic Society has adopted the term “childhood interstitial lung disease (ChILD) syndrome” in a practical guideline to provide specific criteria to help the diagnosis of unexplained respiratory distress in infants [4,6]. In the absence of known primary disorders the ChILD syndrome requires the presence of three of the following criteria: (1) respiratory symptoms (cough, difficulty in breathing, or exercise intolerance), (2) respiratory signs (tachypnea, retractions, crackles, digital clubbing, failure to thrive, or respiratory failure), (3) hypoxemia, and (4) diffuse chest infiltrate on chest X-ray (CXR) or computed tomography (CT) scan [4,7,8]. Although ILD is less frequent in children than in adults, it varies considerably in its etiology and pathogenesis [9-11]. For example; desquamative interstitial pneumonia (DIP) occurs in both age groups but has distinctive pathophysiologies. It is related to prolonged smoking in adults, but in children, it can be idiopathic and is mostly associated with an inborn error of surfactant metabolism [9, 12].
CASE REPORT
A thirteen-year-old girl was referred to our outpatient clinic by her pediatrician because of worsening dyspnoea. The patient was born to non-consanguineous parents without complications but developed dyspnea grade I (MMRC – Modified Medical Research Council) at the age of 11 years. Since then, before visiting our hospital, the patient was treated symptomatically, in addition to being administered anti-tuberculosis therapy without any relief. Her dyspnea progressed from grade II to grade III to grade IV over two years. She had no history of chest pain and her cough was mostly dry. After 2 years of symptoms, during which she visited several hospitals, the patient visited our outpatient clinic. The patient was not exposed to organic/inorganic dust/cigarette smoke/drugs, nor had a family history or other systemic illness. She had developed clubbing over the last year. On examination, the patient was vitally stable except for a respiratory rate of 22 cycles per minute. On chest auscultation, she had bilateral basal end-inspiratory fine crepitations.
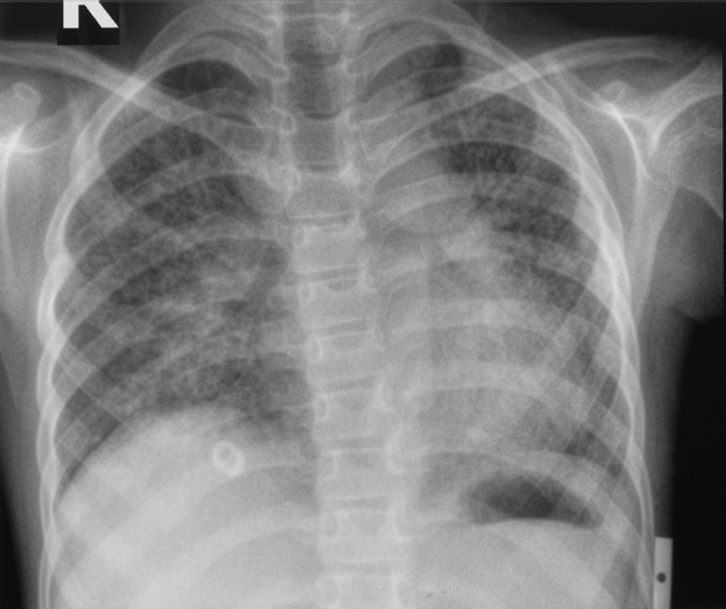
Chest radiography showed bilateral reticulonodular opacities (Figure 1). The patient was treated symptomatically and then started on ATT (Anti-tubercular treatment) under DOTS (Directly observed treatment short course) for 6 months. Routine hematological tests were normal except for leucocytosis 14800lµl. Liver function tests, renal function tests, and lipid profiles were within normal limits. The international normalized ratio was 14 and 2 sputum samples were negative for acid-fast bacilli. Antinuclear antibodies (ANA) and anti-endomysial antibodies were negative and serum angiotensin-converting enzyme (ACE) was normal (26.4).
.png)
Figure1: Chest radiograph shows bilateral reticulonodular opacities
High-resolution computed tomography (HRCT) showed ground-glass attenuation with honeycombing and intralobular, interstitial septal thickening suggestive of an ILD (Figure 2). Two-dimensional echocardiography was suggestive of mild pulmonary hypertension (30mmhg). Genetic analysis was not performed due to financial restrictions. An extensive workup could not assess a diagnosis, therefore, a transbronchial lung biopsy (TBLB) was performed. Histopathology was suggestive of fibrotic thickening of the pleura with underlying parenchyma showing large aggregates of macrophages in alveolar spaces. There was a marked widening of interstitium showing fibroblast and moderate predominantly lymphocytic infiltrate with evidence of bronchiolization of alveoli (Figure 3). These findings were consistent with DIP with organizing pneumonia. The patient was started on steroid therapy. However, she could not be discharged home due to ongoing oxygen needs after the TBLB procedure and poor socioeconomic support. Unfortunately, she died a month after being diagnosed due to disease progression.
.png)
Figure2: Chest CT scan showing diffuse ground-glass opacities
.png)
Figure 3: Photomicrograph of Lung Biopsy: slight mononuclear infiltrates may be seen and some alveolar spaces are filled with macrophages.
DISCUSSION
ILD is defined by the presence of diffuse infiltrates on chest radiographs or high-resolution computed tomography (HRCT), and abnormal pulmonary function tests with evidence of a restrictive ventilatory defect and/or impaired gas exchange in the correct clinical situation. The search for etiology in children/adolescents requires a systematic step-by-step assessment for identifying: exposure-related ILD; systemic disease-associated ILD; alveolar structure disorder-associated ILD; and ILD specific to infancy. ILDs in early infancy are due to genetic disorders, developmental anomalies, and surfactant deficiencies. As the age of the child advances environmental exposures in addition to genetic predisposition may result in ILD.
DIP is the most commonly described histological diagnosis in children and adolescents with interstitial lung disease [9, 13]. The respiratory symptoms developed gradually and DIP was diagnosed two years after its onset. Dyspnea, cough, and tachypnea are common, while failure to thrive is more common in young children. The presence of these symptoms for more than three months should allow a targeted assessment of the interstitial disease using a systematic approach [9, 11,12]. Our patient developed dyspnea at the age of 11 years and the diagnosis was made at the age of 13 years. Less commonly, patients with DIP may present with extrapulmonary manifestations such as nephrotic syndrome due to focal segmental glomerulosclerosis with an immunologically mediated pathogenesis [14]. In our case, ANA, antiendomysial antibody, and serum ACE were all negative.
HRCT is the most sensitive imaging modality for detecting interstitial pneumonia. In addition, it provides insight into the extent and severity of the disease and therefore helps in selecting the appropriate lung area for biopsy. In our patient, the presence of ground glass attenuation with honeycombing and intralobular interstitial septal thickening led to the diagnosis of interstitial lung disease. Therefore, the patient was recommended for transbronchial lung biopsy (TBLB). The subsequent histologic examination of the lung biopsy confirmed DIP with a large aggregate of macrophages in alveolar spaces, fibrotically thickened pleura, marked widening of interstitium showing fibroblasts and moderate predominantly lymphocytic infiltrate with broncholization of alveoli, a histologic pattern mostly related to DIP.
DIP in adults is steroid-responsive and has a better prognosis than idiopathic pulmonary fibrosis. However, data on ILDs in children and adolescents are scarce. The treatment of interstitial lung diseases in children and adolescents, including DIP, is basically conservative with aggressive nutritional interventions and prevention of infections [9, 12]. Many children with advanced disease require supplemental oxygen. Corticosteroids and immunosuppressive drugs can also be administered, but no clinical studies have shown their effectiveness. The prognosis remains uncertain despite treatment in children/adolescents with advanced ILD [9, 15,16]. Our patient died because of disease progression despite the administration of steroids.
CONCLUSION
Desquamative interstitial pneumonia is a rare form of interstitial lung disease in children. Respiratory symptoms occur progressively and are often subtle, and the diagnosis is often made two years after symptoms appear. HRCT is the most sensitive imaging modality for detecting interstitial pneumonia. The diagnosis of DIP is made by biopsy and treatment in children is generally conservative with aggressive nutritional interventions and prevention of infections.
CONSENT FOR PUBLICATION
Written informed consent was obtained from parents for the publication of this case report and all associated images. Parents understand that while every effort is made to maintain the confidentiality of their child's identity, name, and initials, anonymity cannot be guaranteed.
AUTHORS’ CONTRIBUTIONS
All authors contributed to the completion of this work. The final manuscript was read and approved by all authors.
References
- Clement A, Nathan N, Epaud R, et al. Interstitial lung diseases in children. Orphanet J Rare Dis 2010; 20(5): 1-24.
- Dinwiddie R, Sharief N, Crawford O. Idiopathic interstitial pneumonitis in children: a national survey in the United Kingdom and Ireland. Pediatr Pulmonol 2002; 34(1):23-9.
- Fan LL, Kozinetz CA. Factors influencing survival in children with chronic interstitial lung disease. Am J Respir Crit Care Med 1997;156:939-42.
- Kitazawa H, Kure S. Interstitial lung disease in Childhood: Clinical and genetic aspects. Clinical Medicine Insights: Circulatory, Respiratory and Pulmonary Medicine 2015:9(s1) 57-68.
- Hime NJ, Zurynski Y, Fitzgerald D, et al. Childhood interstitial lung disease a systematic review. Pediatr Pulmonol 2015; 50(12):1383-92.
- Kurland G, Deterding RR, Hagood JS, et al. American Thoracic Society Committee on Childhood Interstitial Lung Disease (chILD) and the chILD Research Network. An official American Thoracic Society clinical practice guideline: classification, evaluation, and management of childhood interstitial lung disease in infancy. Am J Respir Crit Care Med 2013;188(3):376-94.
- Popler J, Lesnick B, Dishop MK, et al. New coding in the International Classification of Diseases, Ninth Revision, for children’s interstitial lung disease. Chest 2012;142(3):774-80.
- Cazzato S, di Palmo E, Ragazzo V, et al. Interstitial lung disease in children. Early Hum Dev. 2013;89 (suppl 3):S39-43.
- Bressieux-Degueldre S, Rotman S, Hafen G, et al. Idiopathic Desquamative interstitial pneumonia in a child: a case report. BMC Research Notes 2014; 7:383.
- Dishop MK. Diagnostic pathology of diffuse lung disease in children. Pediatr Allergy Immunol Pulmonol 2010; 23(1):69-85.
- Clement A, Force ERST. Task force on chronic interstitial lung disease in immunocompetent children. Eur Respir J 2004; 24(4):686-697.
- Vece TJ, Fan LL. Interstitial lung disease in children older than 2 years. Pediatr Allergy Immunol Pulmonol 2010; 23(1):33–41.
- Bokulic RE, Hilman BC. Interstitial lung disease in children. Pediatr Clin North Am 1994; 41(3):543–567.
- Sheth KJ, Leichter HE, Kishaba G, et al. Focal segmental glomerulosclerosis in desquamative interstitial pneumonia. Child Nephrol Urol. 1992;12(1):43–46
- Tazelaar HD, Wright JL,Churg A. Desquamative interstitial pneumonia. Histopathology 2011; 58 (4):509-516.
- Diken ÖE, Şengül A, Beyan AC, et al. Desquamative interstitial pneumonia: Risk factors, laboratory and bronchoalveolar lavage findings, radiological and histopathological examination, clinical features, treatment and prognosis. Exp Ther Med 2019;17(1):587-595.
